右側の噛み合わせが低くて、噛み合わせがおかしい(20代前半・女性)(歯列矯正、船橋)
- つかだ歯科医院

- 2025年8月28日
- 読了時間: 2分
更新日:2025年9月17日
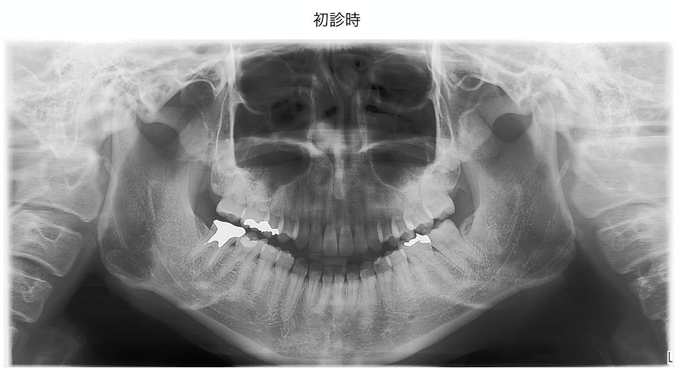
●主訴
右側の噛み合わせが低く、不安定に感じる
顎が後方に下がっている
右側でうまく噛めず、バランスよく食事ができない
頭痛・首こりなど、不定愁訴が強く日常生活に支障がある
●治療内容
全顎矯正治療 歯並びと噛み合わせを整え、顎の位置やバランスを改善します。
修復治療・補綴治療 すり減った歯や欠けてしまった歯を補い、噛める状態を回復します。
咬合治療(噛み合わせを上げる矯正治療) 矯正治療により咬合高径を適切に回復し、顎関節・筋肉・全身に調和した噛み合わせを実現します。
●そのほかの改善点
口元の改善 スマイルラインやEラインを整え、自然で美しい口元へ
口が開けづらい症状の改善 顎関節症による開口障害を和らげ、快適に口を開けられるように
顔の歪みの改善 右への傾きやバランスの乱れを、顎位・咬合平面の調整により改善
顎の後退の改善 顎が右後ろに下がっている状態を、咬合挙上によって改善
くいしばりのコントロール 歯や顎関節への負担を軽減し、長期的な安定を目指す
顔面頭蓋の歪みの改善 上顎骨の歪みを整え、顔全体のバランスを回復
頚椎の改善 顎位の改善により、首の歪みや不調の軽減をサポート
噛み合わせの安定 噛む面が平らにすり減ってしまった歯を修復治療し、しっかり噛める状態と長期的な安定を取り戻す
初診時










治療後



治療前後



























